Notre mission est d’améliorer
votre santé dentaire et l’esthétique
de votre sourire en prodiguant
des soins dentaires qui répondent
à vos exigences.
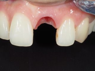
Perdre une dent, un équilibre qui se rompt
La perte d’une dent ne reste pas sans effet :
– Difficulté à parler et à mâcher.
– Déplacement des dents antagonistes et adjacentes.
– Changement de votre apparence, de votre sourire, de vous même.
Un Implant peut être la solution
Un implant dentaire est une racine artificielle en titane placée dans le site osseux laissé par votre ancienne dent. Il est ainsi l’élément qui s’approche le plus d’une racine naturelle.
Sur cet implant sera fixé la couronne.
A l’inverse des bridges, on évite de toucher aux dents voisines.
Une solution en deux temps
– Pose de l’implant : Elle se réalise sous anesthésie locale, avec éventuellement la mise en place d’une prothèse provisoire. Les douleurs modérées qui peuvent suivre ne dépassent pas celles d’une extraction et seront accompagnées par une prescription médicamenteuse.
– Cicatrisation : L’os cicatrise autour de votre implant afin que celui ci soit bien stabilisé. Sa durée moyenne est de 2 mois.
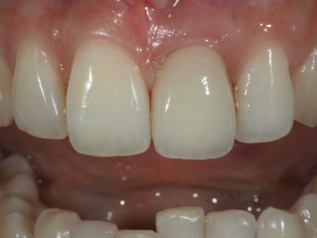
– Pose de la prothèse définitive : Une couronne ayant la taille, la forme, l’aspect et la teinte de vos dents naturelles sera réalisée.
Et Après ?
Une hygiène bucco-dentaire rigoureuse est indispensable pour entretenir votre implant.
L’usage de brossettes spéciales et une visite régulière sont importants pour garder l’ensemble de vos dents en bonne santé, y compris votre implant.